Dog Birth Turns Into Extraordinary Event That Defies Every Scientific Expectation
Something’s Not Right

Lola didn’t act like the typical expectant dog. She was calm and quiet, almost too serene. Mrs. Thompson was just as composed, cradling her with gentle hands. But as the hours went by, Dr. Greene couldn’t shake the feeling that there was something more going on.
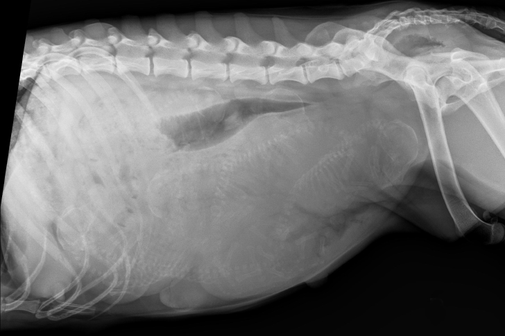
When Dr. Greene moved to the X-ray machine, he hoped it would ease his growing unease. But as the screen lit up, his eyes widened. The X-ray showed tiny forms packed into Lola’s belly like sardines in a can. Not only were there more puppies than usual, but their size suggested this wasn’t just a large litter.
More in Trending
-
must be fixed before published- World Cup Players’ Houses & Cars – We Hope They Have a Proper Car and Home Insurance
Steven Gerrard – Beverly Hills, Estimated $25.61 Million Steven Gerrard is one of the most notable midfielders from his era. He...
April 14, 2025 -
`
Understanding the Used Car Market – What You Should Know Before Buying!
Buying a used car can be a journey of surprises, especially in today’s evolving landscape, where the used car market has...
November 7, 2024 -
`
Global Mobility and Its Role in Business Planning
As companies plan to meet the growing demands of a globalized world, global mobility emerges as a crucial aspect of their...
October 31, 2024 -
`
Why Do Celebrity Converts Spark So Much Debate?
The world of faith is often seen as a sanctuary for the weary, a place where all individuals, regardless of their...
October 22, 2024 -
`
Battered Florida on Alert as Hurricane Milton Takes Aim
The massive Category 5 Hurricane Milton is gaining strength as it moves across the Gulf of Mexico, with Florida in its...
October 19, 2024 -
`
7 Tips to Bolster Your Money Management Skills in Your 20s
Your 20s are a crucial time for laying the groundwork of your financial future. While it might seem daunting, implementing effective...
October 9, 2024 -
`
What the U.S. Small Business Surge Means for Economic Future
Small business optimism is surging in the United States, signaling a bright outlook for the future of the economy. Following the...
October 3, 2024 -
`
7 of the Most Shocking Celebrity Cheating Scandals
When it comes to celebrity cheating scandals, nothing grabs the public’s attention quite like stories of infidelity. Some of the most...
September 24, 2024 -
`
The Rise of South Korean Fighter Jets – From Donors to Designers
South Korea’s journey from relying on foreign fighter jets to developing its own cutting-edge aircraft is nothing short of remarkable. The...
September 20, 2024